
Đổi mới, nâng cao chất lượng hoạt động
Những năm gần đây, Bệnh viện được lãnh đạo tỉnh và ngành Y tế quan tâm xây dựng cơ sở vật chất, đầu tư trang thiết bị y tế giúp năng lực điều trị ngày càng nâng cao. Đặc biệt, đơn vị đã có những thành tựu vượt bậc về phát triển các kỹ thuật chuyên sâu, như: Nội soi phế quản và các kỹ thuật đi cùng (Gắp dị vật, sinh thiết, sàng lọc Ung thư bằng dải ánh sáng hẹp NBI,...), Nội soi màng phổi, sinh thiết màng phổi, gây dính màng phổi trong điều trị tràn khí màng phổi, thông khí nhân tạo,…

BSCKII Nguyễn Ngọc Thanh, Bí thư Đảng ủy-Giám đốc Bệnh viện ý kiến chỉ đạo tại Hội nghị sơ kết giữa nhiệm kỳ thực hiện nghị quyết đảng bộ Bệnh viện Phổi nhiệm kỳ 2020-2025
Việc áp dụng thành công những kỹ thuật này đã giúp giành lại sự sống cho nhiều người bệnh, nâng cao chất lượng chẩn đoán, điều trị cũng như góp phần giảm chi phí cho người dân và giảm tải cho các bệnh viện Trung ương.

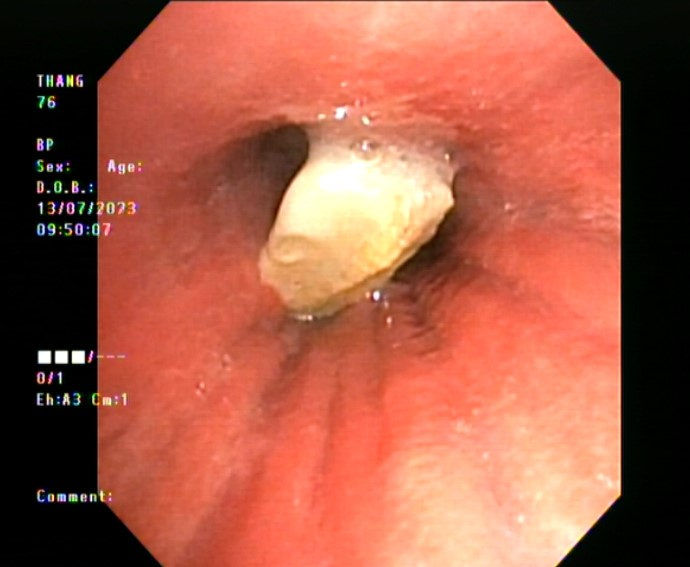
Nội soi phế quản ống mềm gắp dị vật phế quản
Sau đợt dịch Covid-19 vừa qua, Bệnh viện Phổi Bắc Giang đã có bước tiến rõ rệt về năng lực nhờ được kế thừa nhiều trang thiết bị hiện đại như: máy thở HFNC, máy thở chức năng cao, ECMO, hệ thống oxy trung tâm khí hóa lỏng,... Cán bộ y, bác sĩ của bệnh viện được tiếp cận và sử dụng thành thạo nhiều kỹ thuật mới, hiện đại đồng thời được làm việc, học hỏi kinh nghiệm, tác phong từ những chuyên gia hàng đầu của Việt Nam thuộc các đoàn cán bộ của Bệnh viện Bạch Mai, Bệnh viện Chợ Rẫy đến tăng cường hỗ trợ…


Thành lập trung tâm ICU thu dung chữa trị bệnh nhân Covid-19
Cùng với đó, đội ngũ y bác sỹ Bệnh viện Phổi Bắc Giang cũng luôn được tạo mọi điều kiện tốt nhất để học tập nâng cao tay nghề, trau dồi kiến thức chuyên môn nghiệp vụ tại các bệnh viện lớn tuyến Trung ương. Với phương châm hoạt động “Sự hài lòng của người bệnh là sự tồn tại và phát triển của Bệnh viện”, việc đổi mới phong cách, thái độ phục vụ của cán bộ y tế nhằm hướng tới sự hài lòng của người bệnh được coi là “kim chỉ nam” cho chiến lược phát triển, xây dựng thương hiệu bệnh viện, củng cố niềm tin của Nhân dân vào sự nghiệp y tế tỉnh Bắc Giang nói chung và khẳng định uy tín của Bệnh viện Phổi Bắc Giang nói riêng. Với những nỗ lực, cống hiến không ngừng của tập thể cán bộ, y bác sỹ Bệnh viện Phổi Bắc Giang trong công tác chăm sóc sức khỏe Nhân dân góp phần vào sự phát triển của Ngành Y tế và sự nghiệp xây dựng Chủ nghĩa xã hội và bảo vệ Tổ quốc; năm 2021, Bệnh viện Phổi Bắc Giang vinh dự được Thủ tướng chính phủ trao tặng Bằng khen.
Bệnh viện Phổi Bắc Giang là đơn vị đầu ngành của tỉnh ở cả 2 sứ mệnh "chấm dứt bệnh lao và nâng cao sức khỏe phổi cho nhân dân"
Bệnh viện Phổi Bắc Giang luôn phát huy khối đoàn kết, sáng tạo và trách nhiệm, kế thừa những thành tựu của bệnh viện trong những năm qua; thực hiện tốt công tác khám chữa bệnh chuyên khoa ở tuyến cao nhất của tỉnh.

Ths.BS.Thân Minh Khương PGĐ Bệnh viện khám và cấp thuốc miễn phí tại nhà cho đối tựợng người có công nhân ngày 27/7
Bời vì Lao là một chuyên ngành thật đặc biệt, có nhiều kỳ thị và mặc cảm vì đã từng gây tử vong rất cao và lây truyền nhanh. "Vậy làm thế nào để vượt lên, ai sẽ chăm sóc và chữa lành cho bệnh nhân? Đó chính là chúng tôi, bệnh viện Phổi Bắc Giang, với hơn 171 CBVCNLĐ trong bệnh viện, cùng với hệ thống phòng chống lao trên địa bàn toàn tỉnh. Họ gắn kết bên nhau với mục tiêu chấm dứt bệnh lao vào năm 2035, coi đó là sứ mệnh của mỗi tổ chức và của mỗi cá nhân, xứng đáng được coi là kim cương và không phải ai cũng hiểu".

BSCKI Nguyễn Văn Thành Phó giám đốc Bệnh viện giám sát phát hiện lao chủ động tại huyện Yên Thế
Bệnh viện không chỉ có nhiều thành công trong khám, chữa bệnh và khoa học công nghệ, mà còn xây dựng được một mạng lưới phòng, chống lao và bệnh phổi toàn tỉnh, kêu gọi được nhiều nguồn lực tham gia. Hiện nay, mạng lưới này vẫn đang ngày đêm phát hiện và điều trị cho 1.800 đến 2.200 bệnh nhân lao mỗi năm.

Khám phát hiện chủ động bệnh lao cho nhóm trẻ em nghi lao tại cộng đồng huyện Yên Thế
Song song với đó làm tốt truyền thông và huy động xã hội, để người dân hiểu và tiếp cận được với các dịch vụ chuẩn sớm nhất, tiện lợi nhất; giảm kỳ thị, mặc cảm với bệnh lao để được phát hiện sớm và điều trị khỏi; liên tục củng cố mạng lưới phòng, chống lao và bệnh phổi; tham mưu chính sách, đào tạo chuyển giao kỹ thuật để đảm bảo hiệu lực, hiệu quả của hệ thống chuyên khoa, sớm hoàn thành chỉ tiêu về chấm dứt bệnh lao theo lộ trình khả thi.
Chất lượng tạo nên thương hiệu và để đạt được thành công là cả quá trình nỗ lực, phấn đấu không ngừng của tập thể cán bộ, viên chức và người lao động Bệnh viện Phổi Bắc Giang, không chỉ nâng cao về mặt chuyên môn, nghiệp vụ mà còn chú trọng rèn luyện nâng cao y đức tạo dựng niềm tin với Nhân dân. Trên chặng đường phát triển của mình, Bệnh viện Phổi Bắc Giang rất vui mừng khi luôn nhận được sự quan tâm ủng hộ của Nhân dân trong và ngoài tỉnh. Đó cũng chính là động lực để mỗi cán bộ, viên chức và người lao động Bệnh viện thêm yêu nghề và gắn bó với nghề hơn, mong muốn mang đến cho Nhân dân chất lượng dịch vụ chăm sóc sức khỏe tốt nhất. Bằng tất cả niềm hạnh phúc, Bệnh viện Phổi Bắc Giang xin gửi lời tri ân sâu sắc nhất đồng thời cam kết sẽ không ngừng nỗ lực phát triển nguồn nhân lực kiện toàn về năng lực và y đức để xứng đáng với niềm tin yêu của Đảng, là đơn vị đầu ngành của tỉnh ở cả 2 sứ mệnh "chấm dứt bệnh lao và nâng cao sức khỏe phổi cho nhân dân".
Nguồn tin: Tiến Thành
Ý kiến bạn đọc
Những tin mới hơn
Những tin cũ hơn