Ngày 13/7/2023, Bệnh viện Phổi Bắc Giang đã thực hiện Nội soi phế quản ống mềm và gắp thành công dị vật phế quản cho một bệnh nhân cao tuổi, nguy cơ chảy máu cao.
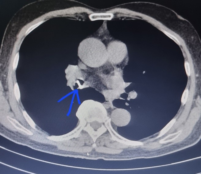
Bệnh nhân nam, 76 tuổi, có tiền sử đặt Stent mạch vành và đang dùng thuốc chống đông từ năm 2021. Khoảng 2 tuần gần đây, bệnh nhân có biểu hiện ho, khạc đờm, đau ngực, không rõ tiền sử sặc hay biểu hiện của Hội chứng xâm nhập. Bệnh nhân nhập viện và chụp CT ngực phát hiện dị vật phế quản trung gian phổi Phải.

Hình 1: Hình ảnh dị vật trên Cắt lớp vi tính
Bệnh nhân được nhập viện điều trị kháng sinh và chống viêm tích cực, ổn định tình trạng nhiễm trùng, sau đó thực hiện Nội soi phế quản ống mềm gắp dị vật phế quản do Bác sĩ CKI Nguyễn Văn Hùng và ĐDV Đào Văn Thanh thực hiện. Phát hiện dị vật là một mảnh xương nằm tại Phế quản trung gian phổi Phải, niêm mạc phế quản xung quanh phù nề, thâm nhiễm và che phủ một phần dị vật, xung huyết, dễ chảy máu, tổ chức hạt cùng dị vật bít kín gần hoàn toàn lỗ phế quản. Ekip nội soi đã tiến hành gắp dị vật bằng kìm gặp dị vật, kết hợp cầm máu tại chỗ và lấy ra được dị vật là một mảnh xương có kích thước 14x14x3 mm.

Hình 2: Hình ảnh dị vật qua nội soi
Bệnh nhân tiếp tục được Nội soi lại để kiểm tra, cầm máu tại chỗ. Sau khi theo dõi, tình trạng ổn định, bệnh nhân được đưa về khoa và tiếp tục điều trị kháng sinh tích cực. Hiện tại, bệnh nhân hoàn toàn ổn định và cảm thấy dễ chịu, thoải mái hơn so với trước khi gắp dị vật.
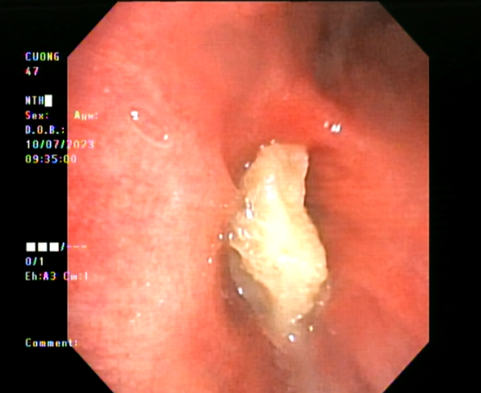
Cũng trong tuần này, ngày 10/7/2023, tại Bệnh viện Phổi Bắc Giang cũng vừa xử lý thành công gắp dị vật là một mảnh xương cho một bệnh nhân nam, 47 tuổi.

Hình 3: Hình ảnh dị vật ở bệnh nhân nam 47 tuổi
Dị vật phế quản là trường hợp các vật rơi vào và mắc lại ở trong lòng phế quản của bệnh nhân. Đây là một tai nạn sinh hoạt có thể xảy ra ở mọi lứa tuổi. Dị vật phế quản thường gặp sau khi sặc thức ăn, đặc biệt ở những trẻ em, người cao tuổi, người say rượu, người bệnh đột quỵ não… Tuỳ thuộc vị trí, loại dị vật, thời gian được tiếp cận chẩn đoán và điều trị, dị vật đường thở có thể gây ra nhiều biến chứng, nguy hiểm nhất là tắc nghẽn đường thở lớn gây tử vong (đặc biệt ở trẻ em), co thắt phế quản, viêm phổi dưới vị trí chít hẹp, xẹp phổi, áp xe phổi,…
Dị vật phế quản thường ở phế quản bên phải nhiều hơn, liên quan đến đường kính và độ chếch của phế quản bên phải so với bên trái.
Nội soi phế quản ống mềm gắp dị vật ngày nay được xem là phương pháp điều trị an toàn, hiệu quả đối với dị vật phế quản. Bên cạnh đó, chụp Cắt lớp vi tính cũng đóng một vai trò quan trọng, hiệu quả trong chẩn đoán ban đầu đối với dị vật phế quản.
Bệnh viện Phổi Bắc Giang là bệnh viện chuyên khoa hàng đầu trong tỉnh về chuyên ngành Nội Hô hấp và là điểm đến đáng tin cậy để trao gửi niềm tin trong việc chăm sóc sức khỏe hô hấp của nhân dân.
Nguồn tin: Thân Minh Khương
Ý kiến bạn đọc
Những tin mới hơn
Những tin cũ hơn